Chirurgie

Zu unserem Angebot gehören umfassende chirurgische Konsultationen, orthopädische Untersuchungen und Lahmheitsdiagnostik.
Für die spezialisierte Chirurgie stehen wir als Überweisungspraxis auch anderen Tierarztkollegen zur Verfügung.

Vorbereitung

Narkose

Operation

Weichteilchirurgie

Die Weichteilchirurgie umfasst gynäkologische Eingriffe, Kastra­tionen mittels minimal invasiver Technik, Abdominal- und Thoraxeingriffe (Darmresektionen, Magendreh­ungen, Lungenoperationen etc.), dermatologische Operationen (Hautplastiken), Tumorchirurgie u.a.

Weichteilchirurgie

Kastration

Behandlung von Frakturen

Orthopädisch behandeln wir Frakturen mittels Platten, ­Nägeln und Fixateur externe. In der Gelenkschirurgie behandeln wir Kreuzbandrisse, Kniescheibenluxationen und Arthrodesen. Eingriffe an Schulter und Ellbogen werden wenn möglich arthroskopisch durchgeführt.

im Röntgenbild

Eingriff

trotzdem ganz agil

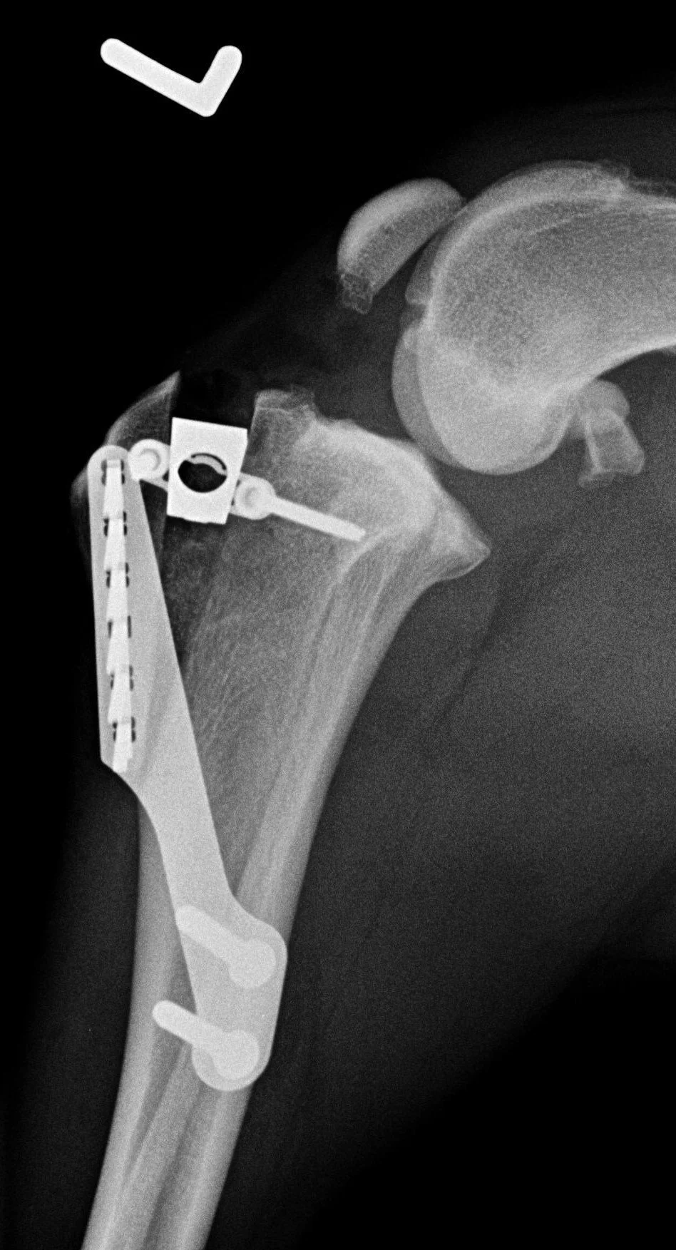
TTA bei Kreuzbandriss

Seit 2002 ist Dr. Reutter für das TTA Verfahren zeritifiziert (Kyon, CH). Unsere Praxis verfügt daher über die erforderliche langjährige Erfahrung zur Erzielung optimaler Ergebnisse in der chirurgischen Versorgung von Kreuzbandrupturen des Hundes und der Katze.

Die TTA (Tibial Tuberosity Advancement) ist eine moderne biomechanische Operationsmethode zur chirurgischen Versorgung von Kreuzbandrissen bei Hunden. Sie gilt als „state of the art" Methode, also das dem heutigen Stand der medizinischen Wissenschaft entsprechende Vorgehen

im Röntgenbild

Eingriff

trotzdem ganz agil